切换至 "中华医学电子期刊资源库"

中华结直肠疾病电子杂志 ›› 2012, Vol. 01 ›› Issue (01) : 34 -36. doi: 10.3877/cma.j.issn.2095-3224.2012.01.08

所属专题: 经典病例 经典病例 文献

病例讨论

多学科协作治疗T4bNxM0期结肠癌一例
刘正1, 陈瑛罡1, 王轶慧1, 李强1, 汤庆超1, 郁雷1, 马天翼1, 王贵玉1,()   
  1. 1. 150086 哈尔滨,哈尔滨医科大学附属第二医院结直肠肿瘤外科 黑龙江省医学科学院大肠癌研究所
  • 收稿日期:2012-06-30 出版日期:2012-10-25
  • 通信作者: 王贵玉
  • Received:2012-06-30 Published:2012-10-25
引用本文:

刘正, 陈瑛罡, 王轶慧, 李强, 汤庆超, 郁雷, 马天翼, 王贵玉. 多学科协作治疗T4bNxM0期结肠癌一例[J/OL]. 中华结直肠疾病电子杂志, 2012, 01(01): 34-36.

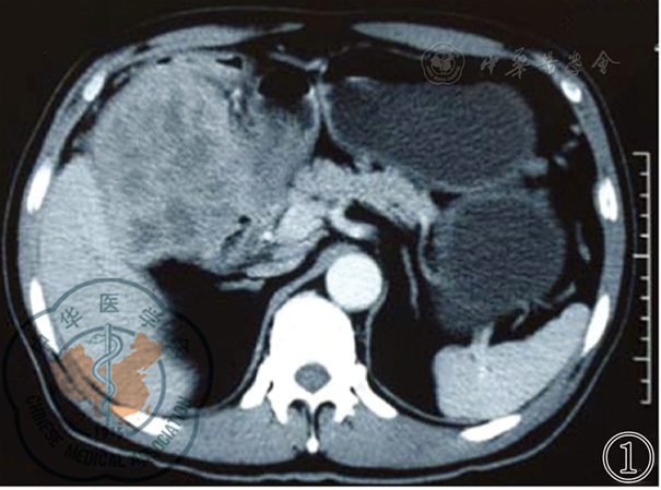
图1 术前CT检查示结肠肝曲巨大肿瘤
图2 术前CT检查示结肠肝曲肿瘤侵犯胰头十二指肠
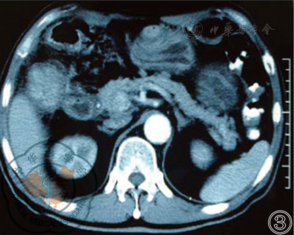
图3 新辅助治疗后CT检查示结肠肿瘤缩小
图4 新辅助治疗后CT检查示结肠肿瘤仍与十二指肠关系密切
图5 行胰头十二指肠切除、右半结肠切除、胆囊切除、肝部分切除、胃空肠吻合口切除和回肠横结肠吻合口切除术术中情况
[1]
陆明,沈琳. 结直肠癌肝转移新辅助化疗的相关问题分析[J]. 中国实用外科杂志, 2009, 29(01): 26-29.
[2]
王锡山. 结直肠癌联合脏器切除得与失及临床病理分期的思考[J]. 中国实用外科杂志, 2010, 30(12): 1002-1004.
[3]
王锡山. 局部复发直肠癌联合脏器切除的适应证与客观评价[J]. 中国实用外科杂志, 2011, 31(4): 299-302.
[4]
National Cancer Institute(NCI). Combination Chemotherapy and Bevacizumab Before or After Surgery in Treating Patients With Colorectal CancerWith Liver Metastases That Could Be Removed By Surgery.Study NCT01189227[EB/OL]. 2012-7-19.

URL    
No related articles found!
阅读次数
全文


摘要


AI


AI小编
你好!我是《中华医学电子期刊资源库》AI小编,有什么可以帮您的吗?